Arbeiten
HARPF DENTAL
Philosophie
Labor
Team
Arbeiten
Kontakt/Anfahrt
Impressum
Eindrücke unserer Arbeiten
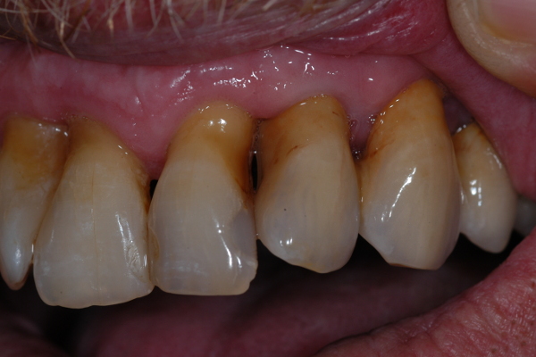
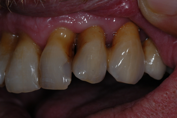
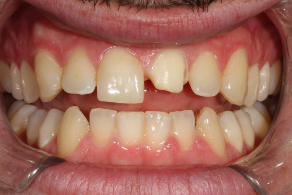
Individueller Frontzahnersatz
Vorher
Nachher
×
Individueller Frontzahnersatz
Vorher
Nachher
Previous
Next
Veneertechnik
Vorher
Nachher
Nachher
×
Veneertechnik
Vorher
Nachher
Nachher
Previous
Next
Individuelle Keramikabutments
×
Individuelle Keramikabutments
Previous
Next
Vollkeramik
×
Vollkeramik
Previous
Next
Spezialfälle
×
Spezialfälle
Previous
Next